Lip & Tongue Tie Release for Feeding, Speech, and Healthy Growth

Lip and tongue ties are more than a mouth issue—they can affect how your child eats, breathes, speaks, and even how their face and airway develop over time. At Total Care Kids, we gently assess for oral restrictions at every stage of growth to support your child’s overall wellness.

When treatment is needed, we use safe, precise laser technology to release the tie with minimal discomfort and no stitches or general anesthesia. Our approach is always conservative and function-focused, ensuring your child gets the support they need—nothing more, nothing less.

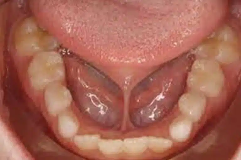
Tongue Tie Release

What Are Lip & Tongue Ties—And Why Do We Watch for Them?

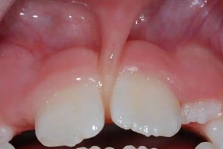
Lip and tongue ties are caused by tight or restrictive frenum tissue—the small bands under the tongue, upper lip, or cheeks that help guide oral movement. When these frena are too short, thick, or tight, they can limit natural function and affect the way a child eats, speaks, and grows.

While ties are often identified in infancy, we most commonly see them in toddlers and young children, where they may begin to interfere with:

  • Eating and chewing solid foods

  • Speech development or unclear articulation

  • Sleep quality, mouth breathing, or snoring

  • Jaw and facial development

  • Ongoing feeding struggles from earlier stages

We evaluate lip and tongue ties during routine exams, focusing on how they function—not just how they look. If we see signs that a tie is affecting your child’s development, we’ll walk you through your options and support you every step of the way.

Lip and Tongue Tie Release
Tongue Tie Release

How Oral Ties Can Affect Growth, Development, and Airway Health

Lip and tongue ties aren’t just about feeding—they can influence how a child’s face, jaw, airway, and posture develop as they grow. In school-aged kids and even teens, oral restrictions can continue to impact overall health in ways many parents don’t realize.

These ties can contribute to:

  • Narrow palate or crowded teeth, due to limited tongue movement during growth

  • Mouth breathing or snoring, which may affect sleep and energy

  • Speech articulation challenges, especially with certain sounds

  • Messy eating, slow chewing, or picky eating habits

  • Postural imbalances or muscle tension in the neck, shoulders, or face

At Total Care Kids, we look beyond symptoms to understand how a tie might be impacting your child’s overall growth and quality of life. Sometimes, a release can make a meaningful difference—not just in the mouth, but throughout the body.

A Gentle, Precise Approach to Lip & Tongue Tie Release

If a tie is impacting your child’s function, we offer a safe, simple in-office release using advanced laser technology. This method allows us to treat the tissue with minimal discomfort, no stitches, and no general anesthesia—all in a matter of minutes.

Why we use laser technology:

  • Precise and controlled treatment with less bleeding

  • Quick healing and minimal post-op discomfort

  • No need for sedation or sutures in most cases

  • Treatment is often done in a calm, quiet environment—right in our office

  • Designed to support your child’s long-term growth and development

We take a conservative, function-based approach—only recommending treatment when it can truly make a difference. And if your child needs additional support (like myofunctional therapy, bodywork, or speech support), we’ll help you build the right care team.

Schedule Your Child's New Patient Exam Today

To schedule your new patient exam call us at (801)756-3737, or you can request a call back by filling out the form on the page.

If you call during non-office hours leave a message and we will return your call on the next business day.

“The doctors at Total Care Kids – along with their AMAZING staff – make a visit to the dentist something you never dread!  The doctors explain everything going on inside your child’s mouth, and how dental health affects your health overall! Thank you TCK!”

Karen – Parent at Total Care Kids

Request a Call Back from the Total Care Kids Team

Wait!

Special One Time Offer...

Get My Full Healthy Mouth, Healthy YOU Diet Ebook for Only $7.97

Take your knowledge to the next level! This Ebook includes:

  • In-depth explanations of each of the 5 keys
  • The principles you need for a healthier mouth and body
  • The Healthy Mouth, Healthy YOU Plan and 
  • Dozens of recipes you and your family will love!