When Should Babies Stop Using Pacifiers? A Holistic Guide for Parents
By Dr. Lyndi Jones, Total Care Kids Dentistry & Orthodontics
Pacifiers can be a lifesaver for soothing a fussy baby, supporting sleep, and helping little ones self-regulate. But as a holistic dentist, I’m often asked, “When should babies stop using pacifiers?” The answer isn’t one-size-fits-all—but there are some important age milestones and health considerations that can guide you.
At Total Care Kids, we take a holistic, whole-child approach to pacifier use and weaning. We know pacifiers can be helpful tools in infancy—but prolonged use can affect your child’s teeth, jaw development, and even breathing. Here’s what parents need to know.
Are Pacifiers Good for Babies?
In the early months of life, pacifiers support a baby’s natural sucking reflex, which is essential for calming, feeding coordination, and sleep regulation. In fact, the American Academy of Pediatrics suggests that pacifier use during sleep may reduce the risk of sudden infant death syndrome (SIDS).
However, long-term pacifier use can pose dental issues, especially if it continues past age 2. That’s when the habit shifts from helpful to potentially harmful.
When Should Babies Stop Using Pacifiers?
Most holistic dentists, including myself, recommend starting pacifier weaning between 6 to 12 months around the child’s first tooth grows in.
Here’s why:
- Around age 2, your child’s jaw and palate begin to rapidly grow.
- Prolonged pacifier use can lead to bite issues like open bite, narrow palate, or misalignment of the front teeth.
- Frequent use can interfere with proper tongue posture and nasal breathing.
If your child is still using a pacifier beyond age 3, it’s definitely time to break the habit—gently but consistently.
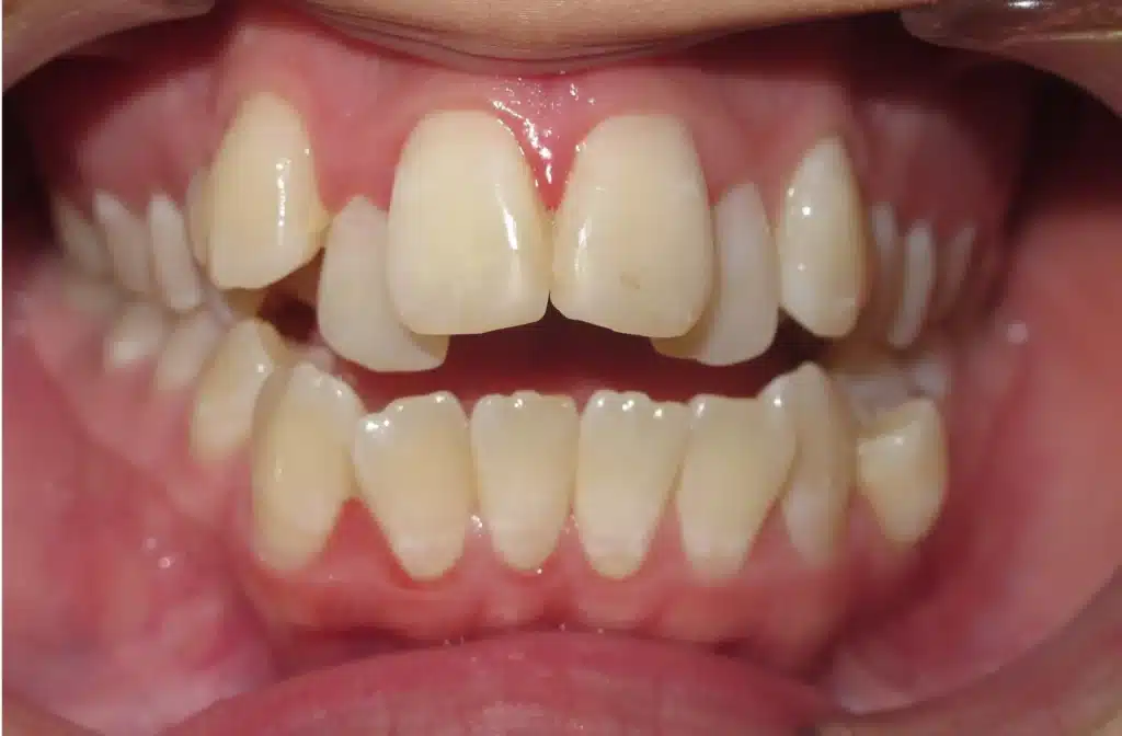
Why Does Pacifier Use Affect Teeth?
Constant sucking puts pressure on the developing mouth, especially the upper palate. Over time, this can:
- Cause anterior open bite, where the front teeth no longer touch when the jaws are closed
- Lead to a narrow palate, reducing room for proper tongue posture and future adult teeth
- Decrease airway space, potentially contributing to snoring, mouth breathing, and sleep-disordered breathing
- Shift developing teeth out of alignment, resulting in the need for early orthodontic intervention
As a holistic dentist for kids, I often see toddlers whose pacifier use has contributed to airway issues and delayed oral development. The earlier we can start weaning, the better for their long-term dental and whole-body health.
Signs It’s Time to Wean the Pacifier
- Front teeth starting to shift outward
- Child relies on pacifier for sleep, naps, or stress relief beyond 18 months
- Speech development delays or unclear articulation
- Increased thumb sucking as a replacement habit
Holistic Tips to Start Weaning
Weaning doesn’t have to be traumatic—in fact, it can be a positive transition. Here are some holistic strategies we use with our little patients at Total Care Kids:
1. Use Age-Appropriate Pacifiers
If you’re not ready to stop pacifier use completely, switching to better designs can help reduce harm.
- Best for babies 0–6 months: Dr. Brown’s HappyPaci

- Better choice after teeth come in (if pacifier is still in use): MAM Matte Pacifiers

These designs are more supportive of oral development and reduce risk of anterior open bite and jaw misalignment.
2. Limit Pacifier to Certain Times
Start by only using a pacifier during nap time and bedtime. This makes the transition easier and less emotionally disruptive.
3. Create a Goodbye Ritual
Many parents find success with the Pacifier Fairy or Tooth Fairy-style rituals. Your child gives their binky to the fairy in exchange for a small toy or keepsake.
4. Go Cold Turkey (if it works for your child)
Some toddlers respond best to simply removing the pacifier completely. This approach often includes a few days of tears but leads to faster adaptation.
5. Offer Soothing Alternatives
Help your child self-soothe with:
- A special bedtime toy or blanket
- Deep breathing games
- More connection and snuggles during bedtime
What About Thumb Sucking?
Sometimes, pacifier weaning leads to thumb sucking, which is often harder to stop and can be more damaging in the long run.
At Total Care Kids, we take a myofunctional approach to these habits—looking at tongue posture, breathing patterns, and emotional needs. Thumb sucking may signal underlying airway restrictions, anxiety, or a strong sucking reflex that hasn’t resolved.
The Role of Your Child’s Dentist
Your child’s dentist isn’t just there to check for cavities. At Total Care Kids, we help families:
- Identify if a habit is affecting oral or facial development
- Monitor changes in the child’s bite or teeth alignment
- Support pacifier weaning with personalized strategies
We also collaborate with pediatricians and myofunctional therapists when needed to ensure your child gets whole-body support.
Final Thoughts from Dr. Lyndi
If your child is still using a pacifier after age 2, don’t panic—but do take action. With the right support, you can break the habit gently and protect your child’s developing smile.
We’re here to help guide the transition, prevent long-term dental issues, and make the process feel safe and supported.
📞 Ready to Talk About Pacifier Weaning?
Schedule a holistic pediatric dental consultation with Total Care Kids today. We’ll assess your child’s oral development, answer all your questions, and create a gentle plan for healthier habits and happier smiles.
Dr. Lyndi Jones
Dr. Lyndi Jones is a pioneering force in biological pediatric dentistry. As co-founder of Total Care Kids and a clinical leader at Total Care Dental & Wellness, she’s helped redefine what dental care can look like for growing children — gentle, fluoride-free, airway-focused, and rooted in whole-body health.
With advanced expertise in TMJ therapy, tongue and lip tie releases, and airway development, Dr. Lyndi has supported hundreds of families in giving their children the healthiest possible start in life — from better sleep to improved behavior, focus, and development.
A fierce advocate for prevention and compassionate care, Dr. Lyndi is on a mission to change the way families experience dentistry — one child, one breath, one smile at a time.