Gentle Habit Elimination for Thumb Sucking, Pacifiers & More

Thumb sucking, pacifier use, and other oral habits are completely normal in early childhood—but when they stick around too long, they can start to affect your child’s jaw development, tooth alignment, and even breathing. At Total Care Kids, we offer gentle, age-appropriate programs to help your child move on from these habits in a way that feels positive and empowering.

Our approach is supportive, not shame-based—focusing on education, encouragement, and when needed, custom oral appliances or myofunctional therapy. Every plan is tailored to your child’s needs, and designed to support healthy growth and long-term oral function.

Thumb Sucking Elimination

Why These Habits Matter for Growing Smiles

Oral habits like thumb sucking and pacifier use are completely normal for infants—but when they continue into toddlerhood or beyond, they can begin to affect the way a child’s mouth, face, and airway develop.

These habits can lead to:

  • Narrowing of the upper jaw or palate

  • Crooked teeth or an open bite

  • Tongue thrust and improper swallowing patterns

  • Speech challenges

  • Mouth breathing and airway restriction

It’s not about blaming the habit—it’s about helping your child transition at the right time to support healthy development. The good news? With early, gentle support, these habits can be broken naturally and successfully.

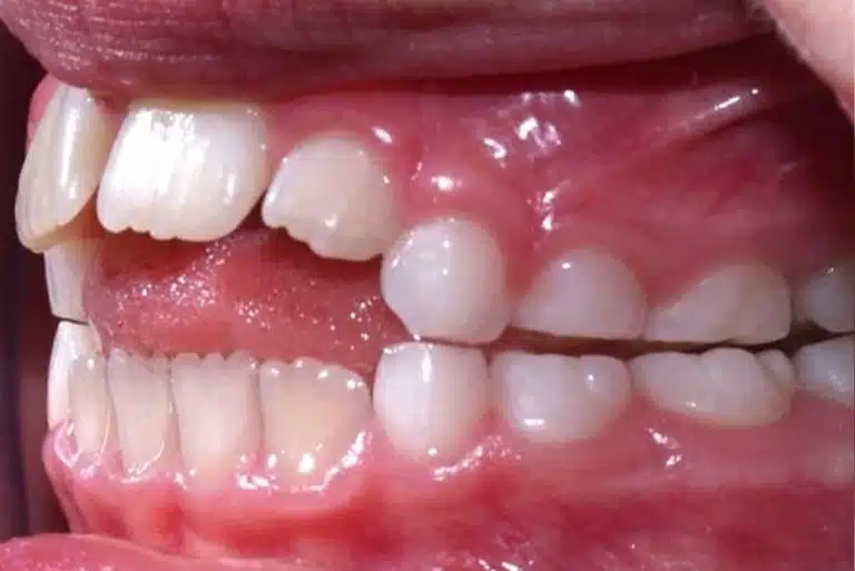
habit elimination with a bluegrass appliance

A Supportive Approach—Tailored to Your Child

Every child is different—and so is every habit. That’s why our habit elimination programs are built around your child’s unique needs, age, and readiness. We start with the most conservative, supportive strategies and only recommend appliances when absolutely necessary.

Our step-by-step approach may include:

  • Education and awareness tools that help your child understand the “why”

  • Positive reinforcement strategies to build motivation and confidence

  • Parent coaching and collaboration, so you feel supported too

  • Habit reminder appliances only when needed (custom-fit and kid-friendly)

We focus on progress, not pressure—because when kids feel safe and supported, real change is possible.

Lasting Change Starts with Healthy Function

Some habits—especially things like tongue thrust or open-mouth posture—aren’t just behavioral. They’re tied to how your child’s muscles, tongue, and airway are functioning. That’s where myofunctional therapy comes in.

This therapy helps retrain the muscles of the mouth and face to support:

  • Proper tongue posture (resting on the roof of the mouth)

  • Nasal breathing instead of mouth breathing

  • Correct swallowing patterns

  • Improved speech, feeding, and jaw development

Myofunctional therapy works hand-in-hand with habit elimination to ensure that your child isn’t just breaking a habit—they’re building a foundation for healthy oral function that lasts a lifetime.

Myofunctional Therapy

Schedule Your Child's New Patient Exam Today

To schedule your new patient exam call us at (801)756-3737, or you can request a call back by filling out the form on the page.

If you call during non-office hours leave a message and we will return your call on the next business day.

“The doctors at Total Care Kids – along with their AMAZING staff – make a visit to the dentist something you never dread!  The doctors explain everything going on inside your child’s mouth, and how dental health affects your health overall! Thank you TCK!”

Karen – Parent at Total Care Kids

Request a Call Back from the Total Care Kids Team

Wait!

Special One Time Offer...

Get My Full Healthy Mouth, Healthy YOU Diet Ebook for Only $7.97

Take your knowledge to the next level! This Ebook includes:

  • In-depth explanations of each of the 5 keys
  • The principles you need for a healthier mouth and body
  • The Healthy Mouth, Healthy YOU Plan and 
  • Dozens of recipes you and your family will love!